Rediscover your smile with expertly crafted Dental Crowns and Bridges at Skin Experts Polyclinic — designed to restore damaged or missing teeth with strength, precision, and a natural look that blends seamlessly with your existing smile.
At Skin Experts Polyclinic, specialists Prof. Ziad Salame and Dr. Karim Corbani ensure every crown and bridge delivers exceptional comfort, function, and beauty. From ceramic and zirconia crowns to precision-fitted dental bridges and crown lengthening procedures, our team restores your oral health and smile with expert precision and long-lasting results.

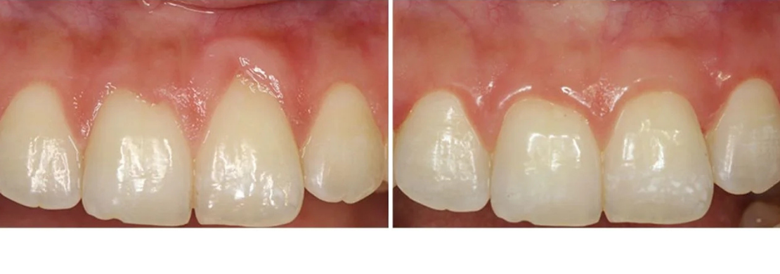
Dental crowns are custom-made caps that cover damaged or weakened teeth, restoring their shape, strength, and appearance. Dental bridges replace one or more missing teeth using neighboring teeth or implants for support. Together, they restore chewing function, maintain alignment, and enhance the natural look of your smile.
You may be a good candidate if you:
Crowns are ideal for restoring broken or root canal-treated teeth, while bridges effectively replace one or two missing teeth to maintain dental balance. Materials like ceramic and zirconia ensure strength and aesthetics. For cases involving decay below the gum line, crown lengthening may be performed to create proper space for restoration.
At Skin Experts Polyclinic, Prof. Ziad Salame and Dr. Karim Corbani deliver precision-crafted crowns and bridges that restore full dental function and a confident, natural smile.



From dermatology, plastic surgery, dental to nutrition care, we bring specialized treatment under one roof to enhance your health, beauty and confidence.
Jumeirah 2, Beach Road, Villa 261 D94 – Dubai.
+971 4 323 0030
Capital Plaza Bldg. GF, Mina El Hosn, Beirut, Lebanon
+961 334 7546
Copyright © 2025 Skin Experts Polyclinic L.L.C. All rights reserved
From dermatology, plastic surgery, dental to nutrition care, we bring specialized treatment under one roof to enhance your health, beauty and confidence.
Skin Experts Polyclinic
Jumeirah 2, Beach Road, Villa 261 D94 – Dubai.
+971 4 323 0030
The Skin Clinic Beirut
Capital Plaza Bldg. GF, Mina El Hosn, Beirut, Lebanon.
+961 334 7546
Copyright © 2025 Skin Experts Polyclinic L.L.C. All rights reserved